肺疾患では、気道の狭窄、肺実質構造の破壊による肺気腫、肺の線維化、結節・腫瘤形成といった様々な肺病変が形成されます。広範な肺病変の結果、呼吸機能が障害され、呼吸困難を来します。
病変部位を含む肺組織を病理学的に検討することが、肺病変評価のgold standardですが、組織採取の際に侵襲を伴い、また得られる検体の大きさに限りがあるため肺全体の評価は困難といった欠点があります。
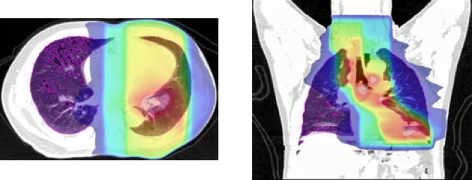
胸部単純レントゲン、胸部CTに代表される医用画像検査法は、比較的低侵襲であり、肺全体のマクロな構造を正確に描出できます。このため病変の分布のみならず、病変の性状を繰り返し評価することができます。こういった肺病変の分布、性状から肺疾患がどのように進行していくのか、呼吸機能障害・治療効果・予後を予測できるか、といった研究が全世界で進められています。
当教室でも、主に胸部CT画像データを用いて、コンピューター上で各種病変の計測を行い肺疾患患者さんの症状や呼吸機能検査、臨床経過との関連を調べることで、肺疾患の病態理解を進めています。


滋賀医科大学呼吸器内科では、画像解析を用いた研究を多く行っています。ひとことで画像解析と言っても、放射線科の先生方が行うような診断のための画像解析とは異なります。私どもが得意なのは定量的画像解析という分野で、コンピュータ解析などを用いて、画像情報の定量化を行います。このことによって、これまで定性的にとらえられていた関係を、科学的に証明することができるのです。
例えば、慢性閉塞性肺疾患(COPD)患者さんは、気腫性病変が多い人と、そうではない人とに分類されますが、気腫性病変が多い人はやせたタイプが多いといわれてきました。そこで、COPD患者さんのCTを用いて気腫性病変を定量化し、体格(BMI)との関係を検討しました。すると、気腫性病変とBMIには負の相関関係が見いだされました。つまり、気腫性病変が多ければ多いほど、患者さんは痩せていることがわかったのです。
このように、定量的画像解析を行うと、これまで不明であった多くのことがわかってくるのです。

外来に通院中で、研究に参加同意されたCOPD患者さんの症状、呼吸機能検査、CT検査を定期的に施行しています。CT画像をVIDA diagnostic社のApollo softwareやImageJを用いて解析を行い、気道病変、気腫性肺病変の測定を行っています。このCT画像の測定値と症状や呼吸機能検査の関連、経年的な変化について検討を行っています。
滋賀動脈硬化疫学研究SESSA、徳島大学工学部、ホーチミン大学メディカルセンターとの共同研究も行っています。
間質性肺炎患者さんのCT画像を用いて線維化病変の広がりを測定し、呼吸機能検査や臨床経過との関連を検討しています。
神奈川循環器呼吸器病センターとの共同研究も行っています。
放射線療法をうける肺癌患者さんで、放射線肺臓炎が起こる危険因子についての検討を行っています。
